公司首页
公司介绍
公司产品
行业产品
合作产品
技术交流
合作伙伴
人力资源
联系我们
技术交流
显微图片
金相技术
显微镜制造工艺
售后小知识
显微镜应用展望
技术交流
您现在的位置:网站首页>技术交流 >显微图片
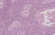
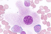
生物显微镜的示例图片
文章来源: 发布时间:
2011/5/13 15:02:16
更多显微镜技术资料可点击
:
http://www.shhx17.com/shhx17/news.asp
上海沪杏光学仪器有限公司
主要生产和销售
金相显微镜
、
偏光显微镜
、
体视显微镜
、
检测显微镜
、
维氏硬度计
等光学设备。
销售部热线:
021-20227929 18801751626
更多金相材料方面资料欢迎来电来函咨询,邮箱
h20227930@163.com
下一篇:
显微镜的经典实例图
上一篇:
饮用水质量影响健康